協業・研究事例 SaMD/Non-SaMD開発支援
Joint Research & Development#01
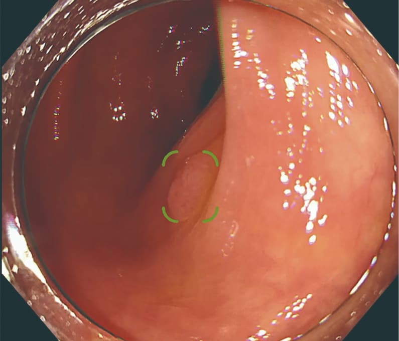
大腸内視鏡検査におけるポリープ検出AI 東京慈恵会医科大学
背景
大腸がんは2020年に日本国内で新たにがんと診断された症例数第1位と多くの割合を占め、年々上昇傾向にあります(1)。また、がんによる死亡数を見ても、肺がんに次いで2番目に多く(2)、予防と早期発見への注力が求められており、早期発見の鍵を握る「大腸内視鏡検査」にて病変の見落とし防止、早期発見・切除できるかが課題となっています。
AI概要
大腸ポリープ候補(隆起型および表面型)を検出し、大腸内視鏡検査を支援するAIを開発しました。大腸内視鏡で撮影した画像を、ほぼリアルタイムで解析することが可能です。検査中の医師の視線を邪魔しないよう、UIにもこだわって開発を行いました。またシェアの低い機種に対する画像や稀な条件に対しては、画像生成技術を用いて疑似画像を作成し、学習データを増強しアルゴリズム開発を行っています。


<公表実績>
Matsui, H., Kamba, S., Horiuchi, H., Takahashi, S., Nishikawa, M., Fukuda, A., Tonouchi, A., Kutsuna, N., Shimahara, Y., Tamai, N., & Sumiyama, K. (2021). Detection Accuracy and Latency of Colorectal Lesions with Computer-Aided Detection System Based on Low-Bias Evaluation. Diagnostics 1 (Basel), 11(10), 1922.
Kamba, S., Tamai, N., Saitoh, I., Matsui, H., Horiuchi, H., Kobayashi, M., et al. (2021). Reducing adenoma miss rate of colonoscopy assisted by artificial intelligence: a multicenter randomized controlled trial. Journal of Gastroenterology, 56, 746–757. doi:10.1007/s00535-021-01808-w
(1)e-stat「全国がん登録 / 全国がん登録罹患数・率 / 事業の概要及び解説」(調査年月:2019年、公開(更新)日2022-05-27)
(2)がん情報サービス「全がん死亡数・粗死亡率・年齢調整死亡率(1995年~2020年)
※本資料は当社事業・技術について説明したものであり、医療機器に関する広告を目的としたものではございません。
Joint Research & Development#01
大腸内視鏡検査におけるポリープ検出AI
東京慈恵会医科大学
Joint Research & Development#02
胸部X線画像における結核検出AI
マヒドン大学
Joint Research & Development#03
腹腔鏡下胆嚢摘出術向け手術支援AI
オリンパス株式会社
Joint Research & Development#04
スマートフォンを用いた貧血予測AI
東京大学
Joint Research & Development#05
小児白血病の骨髄塗抹標本における芽球検出AI
国立成育医療研究センター